Home
/ Transformation Zone Squamous Metaplasia Cervix - Estrogen Contributes To The Onset Persistence And Malignant Progression Of Cervical Cancer In A Human Papillomavirus Transgenic Mouse Model Pnas - As applied to the uterine cervix, the term refers to the process of replacement of simple columnar epithelium lining the endocervical canal and glands by a stratified squamous epithelium.
Transformation Zone Squamous Metaplasia Cervix - Estrogen Contributes To The Onset Persistence And Malignant Progression Of Cervical Cancer In A Human Papillomavirus Transgenic Mouse Model Pnas - As applied to the uterine cervix, the term refers to the process of replacement of simple columnar epithelium lining the endocervical canal and glands by a stratified squamous epithelium.
Transformation Zone Squamous Metaplasia Cervix - Estrogen Contributes To The Onset Persistence And Malignant Progression Of Cervical Cancer In A Human Papillomavirus Transgenic Mouse Model Pnas - As applied to the uterine cervix, the term refers to the process of replacement of simple columnar epithelium lining the endocervical canal and glands by a stratified squamous epithelium.. They arise from the basal layer of glandular epithelium as a protective response to stimuli, creating the transformation zone. With acetic acid, these areas become pale to glassy with a membranous appearance. On colposcopy, squamous metaplasia can be appreciated as pink to white areas with branching surface vessels located in transformation zone. Acetowhite changes are the most important of all the colposcopic features because they are associated with the spectrum of change from normal epithelium (i.e., immature squamous metaplasia) to cancer. Also known as transition zone.
Although primary differences in carcinogenicity have been ascribed to functional differences in e6 and e7 protein activity between hpv types, we suggest that another attribute of carcinogenicity might be the primary interaction with the susceptible cell type, the squamous metaplasia epithelial cells of the cervical transformation zone, where. The clinical significance of squamous metaplasia in the cervix is that, this area of the cervical epithelium has under gone metaplasia(transformation zone) and all the immature metaplastic are susceptible to carcinogens.in view of the afore mentioned it is not surprising that most cervical cancers arise here. Theoretically, these cells of the transformation zone are vulnerable to dna damage and mutational changes during this replicative process. Cervical carcinogenesis associated with hpv primarily affects metaplastic squamous epithelium in a specific anatomical location, the transformation zone. The latter often show large areas of metaplastic squamous epithelium and the development of an atypical transformation zone.
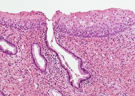
Benign Diseases Of The Cervix Springerlink from media.springernature.com The transformation zone the zone of past and present squamous metaplasia: Diagnosis of cervical squamous metaplasia. The region of the cervix where squamous metaplasia occurs is referred to as the transformation zone. During adolescence the physiological transformation zone of the cervix in the virgin undergoes limited change when compared to that of girls who are sexually promiscuous; The new scj apears to move closer to the external os and then inside the endocervical canal. The interf ace between these two epithelium types is dynamic, and later is the site of the transformation zone. Fragments of benign endometrial tissue. There is a distinct junction between the two cell types called the transformation zone.
Although primary differences in carcinogenicity have been ascribed to functional differences in e6 and e7 protein activity between hpv types, we suggest that another attribute of carcinogenicity might be the primary interaction with the susceptible cell type, the squamous metaplasia epithelial cells of the cervical transformation zone, where.
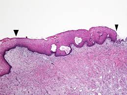
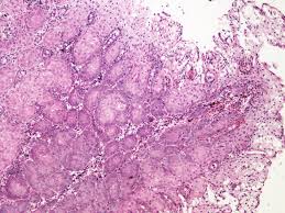
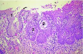
The area of overlap (between squamous & columnar) is known as the transformation zone. There are two types of cells that line the cervix, one lines the outer cervix (portio) and another lines the inner cervix (endocervix). This process can be studied over time by serial examinations of the cervix. Hpv is a sexually transmitted disease. Low grade squamous intraepithelial lesion (lsil/cin 1). There is a distinct junction between the two cell types called the transformation zone. As for the transformation zone. The squamous epithelium is stratified and nonkeratinizing. One of the fears of hpv infection is that it can turn into cervical cancer. Rare cases may harbor in situ or invasive squamous or glandular lesions. The anatomy of the cervix is summarized in chapter 1.the colposcopic appearances of normal squamous epithelium, columnar epithelium, squamocolumnar junction, immature and mature metaplasia and the congenital transformation zone are described in this chapter. Benign cervical tissue (transformation zone with squamous metaplasia and benign endocervical glands. Histology of the normal cervix:
Squamous metaplasia in the cervix refers to the physiological replacement of the everted columnar epithelium on the ectocervix by a newly formed squamous epithelium from the subcolumnar reserve cells. Also known as transition zone. Diagnosis of cervical squamous metaplasia. There is a distinct junction between the two cell types called the transformation zone. The replacement may sometimes be incomplete with persistence of…
Cervical Cancer Screening Nurs 541 Women S Healthcare Diagnosis And Management Ppt Download from images.slideplayer.com Also known as transition zone. The tz gets larger as remodeling occurs and the woman ages. Hpv is a sexually transmitted disease. Squamous metaplastic cells are round to polygonal in shape with dense biphasic staining cytoplasm and round centrally located nuclei. During adolescence the physiological transformation zone of the cervix in the virgin undergoes limited change when compared to that of girls who are sexually promiscuous; Histology of the normal cervix: The area of overlap (between squamous & columnar) is known as the transformation zone. The new scj apears to move closer to the external os and then inside the endocervical canal.
Greater than 90% of cervical cancers develop in the transformation zone (tz), a small region of metaplastic squamous epithelium at the squamocolumnar junction between endocervix and ectocervix.
The latter often show large areas of metaplastic squamous epithelium and the development of an atypical transformation zone. The whole mucosa, including the crypts and the supporting stroma, is displaced in ectropion. Diagnosis of cervical squamous metaplasia. Benign cervical tissue (transformation zone with squamous metaplasia and benign endocervical glands. During metaplasia, columnar epithelium is transformed into mature squamous epithelium. Squamous metaplasia of uterine cervix is diagnosed in following ways: The interf ace between these two epithelium types is dynamic, and later is the site of the transformation zone. One of the fears of hpv infection is that it can turn into cervical cancer. Clinical significance of squamous metaplasia in the cervix in the cervix, the area of the epithelium that has undergone metaplastic change is called the transformation zone (tz). Theoretically, these cells of the transformation zone are vulnerable to dna damage and mutational changes during this replicative process. The area of overlap (between squamous & columnar) is known as the transformation zone. Cervical carcinogenesis associated with hpv primarily affects metaplastic squamous epithelium in a specific anatomical location, the transformation zone. What is the transformation zone?
The epithelial changes that may be associated with acetowhiteness They arise from the basal layer of glandular epithelium as a protective response to stimuli, creating the transformation zone. There are two types of cells that line the cervix, one lines the outer cervix (portio) and another lines the inner cervix (endocervix). The concept of transitional cell metaplasia of the cervix, however, remains controversial. It is the region in which physiological transformation to squamous metaplasia occurs, and it is the area that is susceptible to cervical squamous disease.
Https Publications Iarc Fr Publications Media Download 4556 F0e203eba3c15419c810bde8409c5fa12b7dfae2 Pdf from There is a distinct junction between the two cell types called the transformation zone. Cervical carcinogenesis associated with hpv primarily affects metaplastic squamous epithelium in a specific anatomical location, the transformation zone. Clinical significance of squamous metaplasia in the cervix in the cervix, the area of the epithelium that has undergone metaplastic change is called the transformation zone (tz). The clinical significance of squamous metaplasia in the cervix is that, this area of the cervical epithelium has under gone metaplasia(transformation zone) and all the immature metaplastic are susceptible to carcinogens.in view of the afore mentioned it is not surprising that most cervical cancers arise here. As for the transformation zone. Occasionally, the columnar epithelium extends to the vaginal fornix. Epithelium to a squamous epithelium (squamous metaplasia) is central to the understanding of the pathogenesis of cervical squamous cell carcinomas. Acetowhite changes are the most important of all the colposcopic features because they are associated with the spectrum of change from normal epithelium (i.e., immature squamous metaplasia) to cancer.
The latter often show large areas of metaplastic squamous epithelium and the development of an atypical transformation zone.
This process can be studied over time by serial examinations of the cervix. During metaplasia, columnar epithelium is transformed into mature squamous epithelium. Benign cervical tissue (transformation zone with squamous metaplasia and benign endocervical glands. The squamous epithelium is stratified and nonkeratinizing. The latter often show large areas of metaplastic squamous epithelium and the development of an atypical transformation zone. It is in this transformation zone that abnormal growth or dysplasia develops. The transformation zone the zone of past and present squamous metaplasia: There was broad agreement that the tz is the area where squamous metaplasia has occurred. There is a distinct junction between the two cell types called the transformation zone. Also known as transition zone. Chronic inflammation, surface erosion and reactive epithelial changes are common. With acetic acid, these areas become pale to glassy with a membranous appearance. Cervical carcinogenesis associated with hpv primarily affects metaplastic squamous epithelium in a specific anatomical location, the transformation zone.
There was broad agreement that the tz is the area where squamous metaplasia has occurred squamous metaplasia cervix. The clinical significance of squamous metaplasia in the cervix is that, this area of the cervical epithelium has under gone metaplasia(transformation zone) and all the immature metaplastic are susceptible to carcinogens.in view of the afore mentioned it is not surprising that most cervical cancers arise here.